口腔外科医によるインプラント手術は
名古屋市瑞穂区のかすや歯科医院へ

新型コロナウイルスへの感染予防対策

全国的な新型コロナウイルスの感染拡大に伴い、厚生労働省から、「歯科医療機関における新型コロナウイルスの感染拡大防止のための院内感染対策について」、「新型コロナウイルス感染症対策の基本的対処方針」等の通達が出されております。当院においては、これらの通達に基づき、新型コロナウイルスの院内感染を予防するために、可能な限りの対応策を行っております。

患者様へ受診前のお願い

当院では院内感染対策の徹底を図っていますが、下記の症状がある方は、院内感染防止のため、当院を受診する前に、下記の「帰国者・接触者相談センター」へご相談下さい。 また、14日以内に海外に渡航されている場合は、お申し出下さい。
感染症被害を最小限に食い止めるため、何卒ご理解の上、ご協力をお願い申し上げます。

厚生労働省より示されている相談、受診の目安

  • 風邪の症状があり、数日続いている
  • 味覚・嗅覚に異常がある
  • 強いだるさ(倦怠感)や息苦しさ(呼吸困難)がある。
  • 高齢者・妊婦中の方、基礎疾患等のある方は、上記の状態が2日程度続く場合

※上記症状が無い方でも、濃厚接触が疑われる健康観察者の方に関しては、問診の上、歯科医師の判断で治療を延期とするなどの対応をとらせていただくことがございます。

「帰国者・接触者相談センター」

  • 愛知県健康対策課 感染症グループ TEL:052-954-6272
  • お住いの管轄保健所(各都道府県庁HP参照)
  • 厚生労働省の電話相談窓口 TEL:03-3595-2285

患者様へ受診時のお願い

マスク着用をお願いします

マスク着用をお願いします

ご来院される際は、マスク着用でお願いします。院内でも、診療時以外は、マスク着用をお願いします。お持ちでない方は、受付でマスクを差し上げますので、お申し出ください。

手指消毒をお願いします

手指消毒をお願いします

待合室に手指消毒剤をご用意しておりますので、ご利用ください。

当院での感染予防対策

当院では新型コロナウイルス感染拡大以前、開業当初より、院内感染対策を行っております。

当院の院内感染予防の
取り組みについて

さらに、新型コロナウイルス感染拡大を受けて、空気清浄機を設置しました。国公立病院、大学病院等の医療施設でも採用されている、飛沫感染、空気感染に対し、信頼性の高い装置です。

当院採用の空気清浄機について

さらにまた、新型コロナウイルスに対しても効果が認められた、低濃度オゾン発生装置も設置しております。低濃度オゾンによる空間除菌を行ない、新型コロナウイルスに対する感染予防対策を、徹底しております。

オゾンによる除菌について1

オゾンによる除菌について2

インプラント治療
30年以上の実績

歯学部卒業後、大学の附属病院勤務時代から、インプラント治療に関わり始め、
30年以上が経過しました。その間、難症例を含め、多くの症例に携わり、経験と実績を積んでまいりました。

当院では

インプラント治療30年以上の実績

※通院日数:約4か月(治療内容により異なる)
※外来通院患者数:月間約400人 ※病床:なし

年間250症例以上
平成26年~、1年間のインプラント埋入術、骨造成術、インプラントのための歯肉形成術の合計

累計3500例以上
当院のインプラント埋入術、骨造成術、インプラントのための歯肉形成術の合計推移

H14 H15 H16 H17 H18 H19 H20 H21 H22 H23 H24
41 89 135 143 156 141 164 173 166 183 194
H25 H26 H27 H28 H29 H30 H31・R1 R2 R3 R4 合計
181 212 231 256 261 268 282 276 280 267 4099

骨造成術累計400症例以上
当院のインプラントのための骨造成術推移

H14 H15 H16 H17 H18 H19 H20 H21 H22 H23 H24
2 5 8 8 10 9 10 12 12 14 22
H25 H26 H27 H28 H29 H30 H31・R1 R2 R3 R4 合計
18 26 28 34 36 39 47 54 55 43 492

口腔外科医によるインプラント手術

病院の歯科口腔外科部長として長年勤務し、口腔腫瘍の手術など、インプラント手術以外の口腔外科手術についても多くの研鑽を積んでまいりました。骨量が不足して、インプラント埋入が困難な場合でも、骨を増やす手術、骨造成術を行なってインプラント治療を可能にしていきます。

当院でのインプラントのための
骨を増やす手術(骨造成術)

累計400症例以上

患者様ご自身の骨を移植する、自家骨移植術をはじめ、複数の骨造成術を行なうことができますので、その患者様にとって、最適な方法を選択し、ご提案しております。そして、今後開発される、新しい手術方法や、器具、材料にも、対応できる柔軟性と実力を備えていると自負しております。

骨移植・骨造成について

顎骨の量(幅、高さ)が不十分で、通常の方法ではインプラントが埋入できない場合があります。こんな場合、以前はインプラント治療をあきらめなければなりませんでした。しかし技術、材料の発達によって、顎骨を造り出して、インプラントを埋入できるだけの骨量を確保するために、様々な方法が考えられ、確立されてきました。これが骨造成です。患者様自身の、下顎などの豊富にある部分の骨を採取して不足部分に移植する、自家骨移植。骨に置換する人工材料を、不足する部分に補填する方法。両方を混合する方法などがあります。骨が不足し、インプラント治療をあきらめていた方も、一度ご相談ください。

骨移植による骨造成について

骨の高さが不足する場合に、インプラントを埋入する部分の上の乗せる形で骨(ボーン)を移植(グラフト)するのをオンレーグラフト、骨の厚みが不足する場合に側面に貼り付けるように骨を移植するのをベニアグラフト、穴状の骨欠損の中に骨を移植するのをインレーグラフトといいます。よほど大量の骨が必要な場合でなければ、患者様の下顎の真ん中(オトガイ部)や智歯のあたりから骨を採取すれば可能です。

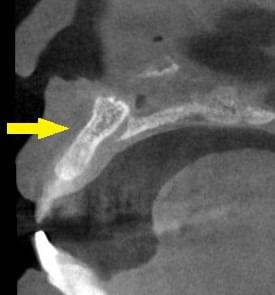
以下に自家骨移植術のオンレーグラフトの例を示します。

骨移植による骨造成について

患者様の治療前のレントゲン写真です。写真の黄色矢印部の歯の周囲は、重度の歯周病で大きく歯槽骨が吸収されてしまっていました。そのため、写真の、赤色矢印で示す、下顎骨の中を通る神経までの距離がなく、インプラント埋入には、骨の高さが不足していました。

骨移植による骨造成について

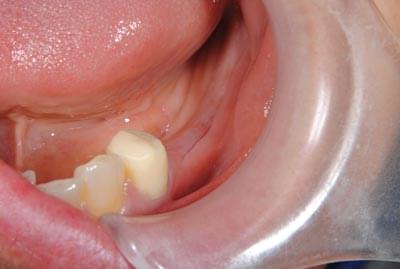
重度の歯周病の歯を抜歯して、インプラント治療を行う予定となりました。
写真は、抜歯後の口腔内の写真です。見るからに、骨が少なく、陥凹してしまっていました。

骨移植による骨造成について

インプラントを埋入するためには、骨を増やさなければならず、患者様ご自身の骨を移植する、自家骨移植術を行なうこととしました。写真、青色の矢印で示す、智歯周辺の骨を採取し、黄色の矢印の部位に骨片を移植、チタン製の小さなスクリューで骨片を固定するという手術を行いました。細く、白く映っているのが骨を固定したミニスクリューです。

骨移植による骨造成について

写真は、実際の手術の写真で、丸く採取された骨片が、スクリューで固定されています。

骨移植による骨造成について

骨の移植手術後、移植した骨片が生着するのを数か月待って、インプラント埋入手術を行いました。写真はその時のもので、移植した骨が周囲の骨と一体化して、しっかりと骨が増えているのが分かります。

骨移植による骨造成について

インプラントを埋入した時の写真です。

骨移植による骨造成について

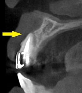
インプラント埋入後のレントゲン写真です。骨の高さが十分に確保されたので、神経を傷つけることなく、安全にインプラント埋入手術ができました。

骨移植による骨造成について

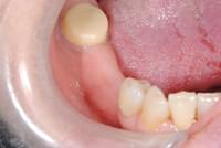
さらに、インプラントが骨としっかりと結合するのを待って、被せものを完成させました。

骨移植による骨造成について

完成後のレントゲン写真です。

費用と期間

インプラント治療は自由診療です。
自家骨移植術の費用が2歯分で20万円(税込22万円)、インプラント埋入手術の費用が3本分で45万円(税込49万5000円)、被せものがオールセラミック3歯分で60万円(税込66万円)、合計125万円(税込137万5000円)でした。初診から約10か月かかりました。

リスクと副作用

インプラント埋入手術は外科治療のため、腫れ、痛みが出る可能性があります。
細菌に感染してしまうと、失敗になってしまうことがあります。当院では滅菌操作を徹底して感染リスクを抑えます。
治療終了後は、インプラント周囲炎にならないために、通常の歯と同じように丁寧なブラッシングや定期メンテナンスが必要です。

骨移植による骨造成について2

もうひとつ、自家骨移植術の例を示します。

骨移植による骨造成について2

患者様のインプラント治療前のレントゲン写真です。右下顎大臼歯2本の抜歯後のレントゲン写真で、写真の黄色矢印は、歯の周囲の歯槽骨が大きく吸収されてしまっていました。

骨移植による骨造成について2

写真のように、CTで見ると、骨吸収の様子が良く分かり、下顎骨の中を通る神経近くまで骨がありませんでした。

骨移植による骨造成について2

さらに、CTで、別な方向から見ると、黄色矢印のように骨が吸収されていて、緑色矢印で示される神経の通る管に迫り、インプラントが埋入できるような骨量はありませんでした。

骨移植による骨造成について2

インプラントを埋入するために、骨を増やす方法はいくつかありましたが、この場合、患者様ご自身の骨をブロック状で移植するのが最も適していると判断し、自家骨移植術を行ないました。患者様ご自身の下顎前歯の下方から骨を採取して、骨がなかった部位に移植し、スクリューで固定したCT画像です。黄色矢印部分が、2つの骨片を移植して、固定したところです。

骨移植による骨造成について2

手術後の、別な方向からみたCT画像です。術前に大きく吸収されていた部分に、骨のブロックが移植され、骨が造成されています。真っ白にピンのように写るのは、骨を固定した小さなスクリューです。

骨移植による骨造成について2

移植した骨が周囲の骨と、結合したのを待ち、6か月後に、インプラント埋入手術を行いました。下の写真が、インプラント埋入後のCT画像で、黄色矢印に示すように、インプラントが2本埋入できました。

骨移植による骨造成について2

インプラント埋入後の、別な方向からみたCT画像です。神経の通る管にややギリギリでしたが、神経は傷つけずに、インプラントが埋入できました。この後、4か月ほどで、咬む歯の部分、上部構造を完成させました。

費用と期間

インプラント治療は自由診療です。
自家骨移植術の費用が2歯分で20万円(税込22万円)、インプラント埋入手術の費用が2本分で30万円(税込33万円)、被せものがオールセラミック2歯分で40万円(税込44万円)、合計90万円(税込99万円)でした。初診から約11か月かかりました。

リスクと副作用

インプラント埋入手術は外科治療のため、腫れ、痛みが出る可能性があります。
細菌に感染してしまうと、失敗になってしまうことがあります。当院では滅菌操作を徹底して感染リスクを抑えます。
治療終了後は、インプラント周囲炎にならないために、通常の歯と同じように丁寧なブラッシングや定期メンテナンスが必要です。

サイナスリフトによる骨造成について

人間の上顎骨の臼歯部(奥歯)の上方には、上顎洞という空洞(サイナス)があって、その下方の骨は薄くなってしまっていることが多くあります。そのため、この部位にインプラントを埋入し、安定を得るためには、骨の量が不足しているケースがか多くあります。こんな場合、この部分に人工材料を填入して骨を増やします。空洞部分をサイナスといい、その底の部分を持ち上げるような(リフトアップする)かたちで骨造成を行いますので、サイナスリフトと呼びます。

以下にサイナスリフトによる骨造成の例を示します。

サイナスリフトによる骨造成について

写真は患者様の治療前のレントゲン写真です。右上顎の大臼歯を喪失し、延長ブリッジを装着されていたのですが、支える歯が破折してしまい、抜歯が必要となりました。ここにインプラント治療を行うには、骨が薄くて、困難な状態でした。

サイナスリフトによる骨造成について

CTで見ると、骨が薄いのが良く分かります。黄色の矢印の部分、白く写るのが骨で、矢印のある黒い部分が上顎洞という空洞です。

サイナスリフトによる骨造成について

この空洞部分に、人工骨を入れて、閉鎖しておくと、数か月ほどで骨に置き代わっていき、インプラントを埋入できるだけの骨量になります。サイナスリフトが終了して、数か月経過し、薄かった骨が十分な厚みができたCT画像です。黄色矢印の部分、白く写る骨が増えています。

サイナスリフトによる骨造成について

サイナスリフトを行って、8か月後に、インプラントの埋入手術を行いました。骨が十分にあったので、通常の長さのインプラントが埋入できました。

費用と期間

インプラント治療は自由診療です。
サイナスリフトの費用が20万円(税込22万円)、インプラント埋入手術の費用が3本分で45万円(税込49万5000円)、被せものがオールセラミック3歯分で60万円(税込66万円)、合計125万円(税込137万5000円)でした。初診から約12か月かかりました。

リスクと副作用

インプラント埋入手術は外科治療のため、腫れ、痛みが出る可能性があります。
細菌に感染してしまうと、失敗になってしまうことがあります。当院では滅菌操作を徹底して感染リスクを抑えます。
治療終了後は、インプラント周囲炎にならないために、通常の歯と同じように丁寧なブラッシングや定期メンテナンスが必要です。

ソケットリフトによる骨造成について

サイナスリフトと同様に、上顎の臼歯部の骨が薄い場合に行います。サイナスリフトは、上顎臼歯の頬側に大きな窓を開けて、そこから骨や補填材料を入れるのに対し、ソケットリフトは、インプラントを埋入するために開けた穴から、骨や補填材料を填入しますので、サイナスリフトより患者様の負担が少なくて済みます。ある程度骨の厚みがあり、少量の骨の造成であれば、この方法でインプラント埋入が可能になります。

以下にソケットリフトの症例を示します。

ソケットリフトによる骨造成について

写真は初診時の患者様のレントゲン写真です。左右とも、上顎第一大臼歯を失っていました。通常のレントゲン写真では、骨量が十分かと思われましたが、CTを撮影してみると、黄色の矢印部位、左側では、少し骨の高さが足りませんでした。

ソケットリフトによる骨造成について

CTを撮影して、測定すると、右側はギリギリ10mmぐらいの高さで、左側は6mmほどしかありませんでした。

ソケットリフトによる骨造成について

そこで、左側はソケットリフトを併用して行いました。インプラント埋入手術後のCT、黄色の矢印部分、インプラント周囲にドーム状に補填材が白く写り、インプラントがしっかりと埋入できています。

費用と期間

インプラント治療は自由診療です。
インプラント埋入手術の費用が1本分で15万円(税込16万5000円)、ソケットリフトの加算が5万円(税込5万5000円)、被せものがオールセラミック1歯分で20万円(税込22万円)、合計40万円(税込44万円)でした。初診から約5か月かかりました。

リスクと副作用

インプラント埋入手術は外科治療のため、腫れ、痛みが出る可能性があります。
細菌に感染してしまうと、失敗になってしまうことがあります。当院では滅菌操作を徹底して感染リスクを抑えます。
治療終了後は、インプラント周囲炎にならないために、通常の歯と同じように丁寧なブラッシングや定期メンテナンスが必要です。

人工骨と自家骨、人工膜(メンブレン)による骨造成について

骨の厚みや高さが不足する場合は、骨補填材料と周囲の自家骨を混ぜて補填し、これを特殊な人工の膜(メンブレン)で覆って行う、骨造成法があります。最近では、自家骨のみよりも、この方法が主流になってきているようです。

人工骨と自家骨、人工膜(メンブレン)による骨造成について

この患者様は、上顎の右前歯が差し歯になっていたのですが、歯の根の先の部分が、腫れを繰り返し、歯根の破折も考えられるとのことで、抜歯して、インプラントかブリッジかと説明されたそうで、インプラント治療を希望されて、当院に相談に来られました。

人工骨と自家骨、人工膜(メンブレン)による骨造成について

CTでみると、歯の根の外側の薄い骨がなく、ここに炎症を起こすと、症状の改善は難しい状態でした。抜歯してインプラントということで了承され、抜歯即時インプラント埋入も考えられたのですが、歯の根の状態、骨の状態を考えて、抜歯して、治癒を待ってインプラント埋入をすることとしました。

人工骨と自家骨、人工膜(メンブレン)による骨造成について

抜歯して5か月経過後にCT撮影すると、非常に良く治癒していましたが、骨の厚みが4mm程しかありませんでした。そこで、インプラント埋入と同時に外側に人工骨と自家骨を混合して補填し、人工の膜(メンブレン)で覆うという、骨の厚みを造成する手術(GBR)を併用しました。

人工骨と自家骨、人工膜(メンブレン)による骨造成について

手術後のCTです。うまくインプラント埋入、骨造成ができていると思います。

費用と期間

インプラント治療は自由診療です。
インプラント埋入手術の費用が1歯分で15万円(税込16万5000円)、骨造成術(GBR)の費用が10万円(税込11万円)、被せものがオールセラミック1歯分で20万円(税込22万円)、合計45万円(税込49万5000円)でした。初診から約9か月かかりました。

リスクと副作用

インプラント埋入手術は外科治療のため、腫れ、痛みが出る可能性があります。
細菌に感染してしまうと、失敗になってしまうことがあります。当院では滅菌操作を徹底して感染リスクを抑えます。
治療終了後は、インプラント周囲炎にならないために、通常の歯と同じように丁寧なブラッシングや定期メンテナンスが必要です。

インプラントを
長期安定させるための
歯肉について

インプラントを長期にわたって安定した、良好な状態で維持するためには、インプラント周囲はもちろん、残った他の歯も含め、口腔内全体の清掃、メインテナンスを適切に行っていくことが重要です。衛生士による口腔内清掃はもちろん、患者様ご自身の毎日のブラッシングが不可欠です。そのために、インプラント周囲の歯肉を、清掃、ブラッシングをしやすい状態にすること、インプラント周囲に汚れや細菌を侵入しにくい状態にすることが必要と考えており、インプラントを囲む歯肉を、適切な状態にするために必要な処置も、当院では行います。

長期安定させるための歯肉について

インプラント治療は、手術をしてインプラント体を顎骨の中に埋め込み、上部構造という咬む部分を装着したら終了ではありせん。そこから、できるだけ長期にわたって安定した、良好な状態を維持できてはじめて成功といえます。そのために、インプラント周囲はもちろん、残った他の歯も含め、口腔内全体の清掃、メインテナンスを適切に行っていくことが不可欠です。これには、インプラント周囲の歯肉を、清掃、ブラッシングをしやすい状態にすること、インプラント周囲に汚れや細菌を侵入しにくい状態にすることが必要です。具体的には、インプラントを囲む歯肉を、固い、動かない歯肉にしてやることです。頬の内側の粘膜のように引っ張ると伸びて、動いてしまうのではなくて、引っ張っても動かない、そして厚みをもった歯肉が必要です(ただし、必ずしも必要でないという考えの歯科医もいます)。

特に下顎の臼歯部で、歯が抜けた後に顎の骨の吸収とともに、頬の側の動く粘膜が内側に押し寄せて、固い歯肉が狭くなってしまうことが多くあります。また、上顎の前歯部でも、歯が抜けた後に、外側の(唇側の)顎骨が吸収されてしまうために、歯肉が凹んだ状態になってしまい、歯肉に厚みを持たせることが必要になることが多くあります。

そのために、必要に応じて、狭くなってしまった固い歯肉の幅を、インプラントの直径よりもひと回り大きく拡げる手術を行ったり、薄くなってしまった歯肉の厚みを増加させる手術を行います。

  1. 固い、動かない歯肉の幅を拡げる手術として、主に以下の二つの方法を用います。
    1. 動く歯肉(可動粘膜)を切開し、外側(頬の方)へ移動させて縫合、固定し、固い、動かない歯肉が切開した部位に張ってくるのを待つ方法(付着歯肉根尖側移動術と呼んでいます)。
    2. 上顎の内側(口蓋側)の固い歯肉を採取して、移植する方法(遊離歯肉移動術と呼んでいます)。
  2. 歯肉の厚みを増加させるためには、上顎の歯肉の厚い部位の、表面から少し深い部分(骨に近い部分)の組織(結合組織)を採取して、インプラント周囲の薄い歯肉の部位に移植する手術(結合組織移植術)を行います。

当院では、これらの手術を、必要な場合に、適切な時期に行っています。費用は3万~10万円(税込3万3000~11万円)です。

インプラント1歯総額35万円(税込38万5000円)

インプラントは素晴らしい治療法だと思います。
当院では、インプラント費用をこれくらいに設定して、より多くの患者様に、
インプラント治療を受けていただきたいと考えております。

治療相談
レントゲン
手術・投薬
セラミック冠

以上をすべて含めて(インプラントは自由診療です)

インプラント費用1歯35万円(税込38万5000円)
インプラント費用1歯35万円(税込38万5000円)

オールセラミック冠

写真のように上部構造(被せもの)にジルコニアボンド冠(オールセラミック、内面もすべて白いセラミック)を使用した費用です。

劣化しやすい、樹脂や銀合金製の上部構造(被せもの)は、当院では使用しません。当院のインプラント治療の上部構造に使用するのは、耐久性、審美性に優れたセラミックのみです。

インプラントメーカーは、海外メーカーも含め、数社のものを実際に使用して比較したうえで選んだ、国産メーカーと海外メーカーを症例に合わせて使用しています。

インプラント費用について

手術+セラミック冠上部構造でインプラント1歯35万円(税込38万5000円)

CT撮影費用、材料費用、投薬費用を含めて、手術費用が15万円(税込16万5000円)。上部構造(噛む歯の部分)は、オールセラミック製で20万円(税込22万円)、いずれも歯の裏側まで、見えるところはすべてセラミックの白い歯です。すなわち、骨量が十分で、特に骨造成を行う必要がなければ、オールセラミック冠をいれて、インプラント1歯総額35万円(税込38万5000円)です。

海外メーカーも含めて、数社の製品を使用して選んだ、20年以上の実績がある、国産メーカーと海外メーカーを症例に応じて使用しての価格です。

※インプラント治療費は、クレジットカードによるお支払いも可能です。またスマホ決済PayPayもご利用になれます。

手術費用
骨造成を伴わない通常埋入手術 1歯15万円
(税込16万5000円)
抜歯即時埋入術 1歯につき5万円
(税込5万5000円)加算
即時修復(すぐに固定式の仮歯を入れた場合) 1歯5万~10万円
(税込5万5000~11万円)加算
インプラントのための歯肉の手術 1か所3万~10万円
(税込3万3000~11万円)
骨量が不十分な場合の骨造成術費用
遊離自家骨移植術 1歯分15万円(税込16万5000円)
2歯分以上20万円(税込22万円)
サイナスリフト 片側20万円(税込22万円)
ソケットリフト 1歯につき5万円
(税込5万5000円)加算
人工骨を用いた骨造成術(GBR) 1か所5万~10万円
(税込5万5000円~11万円)
スプリットクレスト 通常埋入手術に7万円
(税込7万7000円)加算
入れ歯を安定させるためのインプラント
埋入手術と義歯の維持装置合わせて 1歯20万円(税込22万円)
1歯35万円(税込38万5000円)のわけ
1歯35万円(税込38万5000円)のわけ
1歯35万円(税込38万5000円)のわけ

1歯35万円(税込38万5000円)にしているのは、インプラント治療は素晴らしい治療法ですから、少しでも多くの患者様に、インプラント治療を受けていただきたいと考えているからです。治療がヘタだからではありません。治療のレベル、クオリティを下げているからではありません。技工料金の安い中国の歯科技工所を使っているわけではありません。手術も、写真のような外科手術用の装備で行っています。

大学の附属病院や、市民病院の口腔外科に長年勤務し、口腔外科手術を行なっていた院長が、手術をいたします。骨造成術も自院で行い、手術に対する技術力には、自信と誇りを持っています。
上部構造には、耐久性、審美性に優れたセラミック冠しか使用しません。劣化してしまう樹脂や銀合金は使用しません。

ただし、

非常に高いレベルの審美性(見た目の美しさ)は目指しません。見た目の美しさについても、可能な限り配慮しますが、患者様の要求されるものと差が生じることがあり、患者様の100%の満足が得られない場合もあるために、超審美的と言われるような美しさはお約束できないと、説明させていただいています。それでも、多くの患者様にご納得いただける程度のレベルの審美性は、達成できていると考えています。

例えば、

下の写真ですが、上顎前歯2本のうち向かって右の歯がインプラントなのですが、歯肉がわずかに上にあがってしまい、全くの左右対称にはできずに、右の歯の方が少し長くなってしまっています。

1歯35万円(税込38万5000円)のわけ

これなどは、もう少し長くなっていますが、口唇を上に引っ張らない限りはそれが見えません。

1歯35万円(税込38万5000円)のわけ

以下も、一見それほど問題にならない程度には仕上がっていますが、隣の歯との間、歯肉の間に空間が残っており、中にはご満足いただけないこともあります。幸いにして、この患者様方には、あらかじめ、見た目についてのご説明をさせていただいた上で、治療を始めていますので、ご納得いただいております。

1歯35万円(税込38万5000円)のわけ

審美性をさらに高め、天然歯とまったく区別ができない様にしようと思えば、追加の費用をいただいて、歯肉の移植術を行なうなど、方法はありますが、その患者様のお考えになるレベルが様々で、ご満足いただけない場合もあり、当院では、非常に高度な審美性はお約束できないと、ご説明させていただいています。

費用と期間

インプラント治療は自由診療です。
上記の4例とも、手術費用インプラント1本分15万円(税込16万5000円)、上部構造1歯分20万円(税込22万円)、合計35万円(税込38万5000円)でした。
初診から上部構造完成まで治療期間4~5か月かかっています。

リスクと副作用

インプラント埋入手術は外科治療のため、腫れ、痛みが出る可能性があります。細菌に感染してしまうと、失敗になってしまうことがあります。当院では滅菌操作を徹底して感染リスクを抑えます。治療終了後は、インプラント周囲炎にならないために、通常の歯と同じように丁寧なブラッシングや定期メンテナンスが必要です。

インプラント費用に対する考え

口腔外科で、長年にわたり外科手術を多数行ってきた者にとって、インプラント埋入手術は難しいものではありません。例えば、患者様の生死を左右してしまう、口腔がんの手術に比べれば、ずっと易しいものです。取り残しのないよう、完全に切除しなければならないプレッシャー、予期せぬ大出血や神経損傷、術後機能障害のリスク等に耐えながら行う、舌悪性腫瘍切除術で、約26万円、下顎骨悪性腫瘍切除術で約40万円です(平成30年4月の保険改正時点)。これらは、当然全身麻酔下で、麻酔科担当医、看護師、手術助手など数名の手術チームで行う手術で、かなりの装備が必要です。それでこの費用です。保険治療との単純な比較には、異論もあるかもしれませんが、それにしても、これら口腔外科手術に較べれば、インプラント手術は、骨造成術も含めて、難しいものではありません。ですから、手術費用を15万円(税込16万5000円)に設定して、より多くの患者様にインプラント治療を受けていただきたいと、考えています。

インプラント無料相談

毎日受付

※ただし休診日(木曜日、日曜日、祝日)は除きます

無料相談時間

日・祝
12:15~18:45
12:15~16:45

相談のご予約は、お手数ですがお電話にてお願いします。レントゲン、CTを撮影しても相談は無料です。
お気軽にお電話ください。メールのお問い合わせ、ご相談はお返事のご連絡が遅れることがあるため、直接お電話にてご連絡ください。

診療時間

日・祝
09:30~12:30
14:00~19:00

□…木曜は手術日、一般診療は休診です。
△…土曜日午後は17:00まで。日曜・祝日は休診日です。

こんなお悩みはありませんか?

こんなお悩みはありませんか?

  • 費用が高額になりそうで不安
  • できるだけ早く歯を入れたい
  • 最新の治療を受けたい
  • 実績のあるところでインプラント治療を受けたい
  • 知識に裏打ちされた、丁寧な説明をしてほしい
  • メンテナンスをしっかりしてほしい

これらのご希望にお答えするために、
かすや歯科医院はインプラント治療に取り組んできました。
そして、さらに今後も進歩し続けていくつもりです。

院長 粕谷幸生のご紹介

私が担当します院長 粕谷幸生のご紹介

昭和36年5月
23日に生まれる
昭和62年3月
徳島大学歯学部 卒業
昭和62年4月
名古屋大学医学部口腔外科 入局
病棟、麻酔研修を研鑚。腫瘍グループに所属、臨床、学会発表を行う。
粘膜疾患と歯科用金属アレルギーにつき研究、論文発表。
平成2年11月
掛川市立総合病院歯科口腔外科医員
平成5年4月
袋井市立袋井市民病院歯科口腔外科部長
口腔外科部長として多数の入院症例、手術症例、有病者歯科治療を経験。
平成5年11月
名古屋大学医学部医学博士
粘膜疾患と歯科用金属アレルギーについての論文を提出。医学博士号取得。
平成9年10月
日本口腔外科学会認定医
学会規定の経験年数、論文発表、入院症例、手術症例をクリアし、口腔外科学会認定医(当時)取得。
平成14年4月
かすや歯科医院 開院
院長 粕谷幸生からメッセージ

院長 粕谷幸生からメッセージ~常に最新、最良の治療を
患者さまのために~

歯科医になって30年以上が経過し、すでにベテランといわれるような年齢になりました。しかし、医科学、歯科学は常に進歩し続けています。患者様に、最良と思われる治療を提供することが、我々の使命であると考えますので、この齢になっても、なお、必要な知識、技術を習得するために、様々な学会、研究会、セミナーに出席をしています。講師の先生が、私よりも年下なんてことも多くなってきました。それでも、たゆまぬ努力を続け、最新、最良の治療を可能とするために、日々、研鑽を積んでいます。今までに出席した学会、セミナー等の参加証、デュプロマ、サーティフィケイトは数知れなくなりました。この知識、技術を、患者様のために、活かしていきたいと考えております。

骨造成・実績の他にもかすや歯科医院だからできること

治療期間の短縮をめざして-抜歯即時インプラント埋入術-
手術してすぐに固定式の仮歯を装着する
-抜歯即時埋入・即時修復-

治療期間の短縮をめざして

インプラント治療が導入され始めた頃は、ダメになった歯を抜歯して、その部位の治癒を、3~6か月ぐらい待ってから、インプラント埋入手術を行っていました。その何か月かを、短縮するために、歯を抜くと同時にインプラント埋入術も行ってしまうのが、抜歯即時埋入術です。歯の状態や、周囲の骨の状態によっては、やはり十分治癒を待たなければならないこともありますが、可能な状況であれば、この抜歯即時埋入術を行うことで、インプラント治療が早まり、歯がなくて不自由な期間を、短くできます。この時に、患者様ご自身の血液から作る、濃厚血小板、成長因子を含むジェルを有効に使います。
さらに条件が良好なら、そのまま固定式の仮り歯まで装着する、即時修復という方法も行っております。

抜歯即時インプラント埋入術をイラストで解説
抜歯即時インプラント埋入術をイラストで解説

破折したり、虫歯がひどくて抜歯が必要な歯を抜歯していきます。

抜歯即時インプラント埋入術をイラストで解説

抜歯した後には、歯の大きさの穴が空きます。ここにインプラントを埋入するための、ドリリングを行います。

抜歯即時インプラント埋入術をイラストで解説

インプラントを埋入します。抜歯した穴のほうが大きいため、インプラントと骨との間に、隙間ができます。

抜歯即時インプラント埋入術をイラストで解説

インプラントと骨の隙間に、顆粒状の骨補填材を、濃厚血小板、成長因子を含むジェルを混ぜて入れます。その上を、ジェルから作った膜で覆います。

抜歯即時インプラント埋入術をイラストで解説

3~4か月で骨とインプラントが生着し、骨補填材も本当の骨に置き代わってきます。

口腔内スキャナーによる
デジタル印象採得

歯の被せものや詰めもの、インプラントの上部構造を作製するために、歯型を採るというステップが必要です。従来は、シリコンやアルジネートと言われる、粘土のようなものをお口の中に入れて、固まるまで待つという方法で行っており、早くて1分、長いと5分ほど我慢しなければなりませんでした。それを、口腔内スキャナーという装置で、口腔内の状態を、デジタル画像として読み取る方法で、行えるようになりました。小型、高性能のカメラで口腔内をスキャニングして、デジタルデータとして記録するのです。あの不快な歯型採りが不要になるのです。

口腔内スキャナーによるデジタル印象採得
口腔内スキャナーによるデジタル印象採得
口腔内スキャナーによるデジタル印象採得のメリット
  1. 不快感からの解放
    カメラヘッドを口腔内に入れてスキャンするだけですので、材料が固まるまでお口の中に保持する、あの嘔吐してしまいそうな歯型採りは不要です。上顎(あるいは下顎)全体をスキャンするのに、2~3分程度で済みます。
  2. 安全性の向上
    型採りの材料が、喉の奥に入ってしまったり、間違って飲み込んだり、といった心配がありません。
  3. 精度の向上
    従来では、材料のわずかな寸法変化というのは避けられないものでしたが、デジタルデータで処理するために、材料の物性による誤差はなくなり、精度が向上します。
  4. 治療期間の短縮
    模型の製作といった工程が不要になり、歯科技工所とのやりとりが、デジタルデータのみで行えるため、被せものなどの製作日数が短縮できます。

インプラントを
2~4本だけ埋入する
義歯を安定させるための
維持装置としての
インプラント治療

高齢者の方、総義歯になってしまった方で、固定式の歯をインプラントで回復しようとする場合、インプラントを4~8本ぐらい埋入しなければなりません。手術も大変ですし、費用もかなり高額になります。体力的にもためらわれる方も多いと思います。そんな場合に、インプラントを2~4本だけ埋入して、これに義歯の維持装置を付け、入れ歯を安定させる治療方法があります。インプラント治療より、体への負担が少なく、費用も少なくて済み、義歯ではありますが、安定が良く、おいしく食事をお召し上がれるようになります。この、義歯の維持装置のためのインプラントは、1本、20万円(税込22万円)ですので、治療費用は、40万円~80万円(税込44万円~88万円)です。

義歯の維持装置ためのインプラントを4本埋入した状態
義歯の維持装置ためのインプラントを4本埋入した状態
義歯の維持装置
義歯の維持装置
口腔内に義歯を装着した状態
口腔内に義歯を装着した状態

[ リスクと副作用 ]
インプラント治療の副作用・リスクについて
インプラント埋入手術は外科治療のため、腫れ、痛みが出る可能性があります
細菌に感染してしまうと、失敗になってしまうことがあります。当院では滅菌操作を徹底して感染リスクを抑えます。
治療終了後は、インプラント周囲炎にならないために、通常の歯と同じように丁寧なブラッシングや定期メンテナンスが必要です。

責任をもって、
治療後のメインテナンスを
行います。

インプラント治療に詳しい
歯科衛生士がきめ細かくチェック、
口腔ケアを担当します。

責任をもって、治療後のメインテナンスを行います。

インプラント治療は、埋入手術を行い、歯が装着されたらすべて終了ではありません。治療後のメインテナンスがインプラント治療と同じぐらい重要であり、長い道のりなのです。メインテナンスを怠れば、歯が歯周病にかかり、ダメになるように、インプラント周囲の歯肉や、インプラントを支える骨が、炎症を起こし、ダメになってしまいます。当院では、口腔内クリーニング、経過観察をとても重要と考え、確実に行ってまいります。当院自慢の歯科衛生士が、患者さまの口腔内の状態のチェック、クリーニングなど、アフターケアを担当いたします。

インプラント無料相談

毎日受付

※ただし休診日(木曜日、日曜日、祝日)は除きます

無料相談時間

日・祝
12:15~18:45
12:15~16:45

相談のご予約は、お手数ですがお電話にてお願いします。レントゲン、CTを撮影しても相談は無料です。
お気軽にお電話ください。メールのお問い合わせ、ご相談はお返事のご連絡が遅れることがあるため、直接お電話にてご連絡ください。

診療時間

日・祝
09:30~12:30
14:00~19:00

□…木曜は手術日、一般診療は休診です。
△…土曜日午後は17:00まで。日曜・祝日は休診日です。

患者様が安心できる
環境づくり

  • 手術用の手指消毒、術衣の着用
    手術用の手指消毒、術衣の着用

    インプラント手術は外科手術です。このために、当院では、外科手術に必要な基本手技である手洗い、手術部位の消毒、手術用術衣の着用を徹底しています。

  • 院内感染予防
    院内感染予防

    ディスポーザブル製品を使用、患者様毎に器具を交換するなどして対策を行っております。

  • オートクレーブ
    オートクレーブ

    パックされた手術用器具を確実に滅菌するためには、ヨーロッパ基準(EN13060・クラスB基準)の高圧蒸気滅菌器(オートクレーブ)が必要です。当院ではこの基準に適応したオートクレーブを導入しています。

  • ガス滅菌・浸漬滅菌
    ガス滅菌・浸漬滅菌

    オートクレーブにかけられないものは薬剤による浸漬消毒あるいは、ガスによる消毒を行って、器具の滅菌の徹底をはかっています。

  • 歯科診療ユニット除菌装置
    歯科診療ユニット除菌装置

    歯科診療ユニット(治療用の椅子)の水や空気は、フィルターを通して、衛生上問題ないものが供給されますが、それでも長年のうちに細菌に汚染される可能性もあります。当院ではユニット内部を十分に洗浄、消毒後、人と自然に優しい電解中性機能水を、ユニットに通水させることにより、配管内の細菌の繁殖を抑え、常に衛生的な状態を保っています。

  • 口腔外吸引装置
    口腔外吸引装置

    口腔外吸引装置でお口の外へ飛散する目に見ない微細な粉塵、唾液を吸引して、診療台、器具、床の汚染防止を行ない、院内感染防止をはかっています。

  • 空気清浄機
    空気清浄機

    当院では、医療施設用大型空気清浄機を設置しています。空気中のウイルス(インフルエンザ、コロナ等)、細菌、微粉塵、花粉、PM2.5や臭いを素早く除去できる高性能で、信頼性の高いシステムです。花粉症や喘息、その他アレルギー疾患の皆様には、やさしい空気にしています。

  • 歯科治療用レーザー
    歯科治療用レーザー

    当院では、世界最小クラスの半導体レーザーを導入し、インプラント手術や歯周病治療などに有効に活用して、歯科治療を行っております。

  • 低濃度オゾン発生装置
    低濃度オゾン発生装置

    当院では、低濃度オゾン発生装置を設置しています。人体に影響を与えない低濃度のオゾンで、空気中のウイルス(インフルエンザ、コロナ等)、細菌を不活化しての空間除菌や、脱臭を行っています。

保証期間

当院のインプラント治療は10年間保証を行っております。 当院のインプラント治療は10年間保証を行っております。
保証期間について詳しく

「上部構造は5年間、インプラント体は10年間保証」

「5年以内で不具合が生じたら、全額費用返還。5年から10年の間に不具合が生じたら経年数に応じて費用返還。」

「10年間完全保証」

よく見かける、インプラント治療に関する保証期間です。あるいは保証書を発行している医院もあります。
しかし、保証する条件として、十分なブラッシング、清掃、経過観察のための来院、術後の諸注意など、1つでも守られない場合、また別に患者様の側に何か原因がある場合は、保証の対象外とするということも、はっきり明文化されているものです。

5年保証、10年保証をうたうことで、自院のインプラント治療への自信、信頼を高めようとしているのはわかりますが、逆にいえば5年以上、10年以上は保証できません、何か患者の側に少しでも落ち度があれば保証しません。と言っているようにも思えてなりません。
当院では、インプラント治療は、きちんと手術を行い、上部構造を作製し、メインテナンスを行えば、まず不具合は生じないものと考えています。10年、20年、それ以上きちっと機能していくものであり、そうさせるもの、そうしていくべきものと考えていますので、本来、保証期間を設定する必要もないし、保証しなければならなくなる様なこともないと考えます。

何か不具合が生じたときに、原因が術者の側にあるのか、患者様の側にあるのか、あるいは両方にあるのか、判断するのが難しいことのほうが多いような気がします。このとき、専門的な知識のない患者様に、責任を押しつけがちな歯科医もいるでしょう。逆に患者様に明らかな落ち度があっても、保証を行う歯科医もいるでしょう。非常に難しい問題だと思います。

では、かすや歯科医院ではどうしているかといいますと、当たり前ですが、まず不具合が生じないようにすることが第一で、これに全力を尽くします。十分な知識、経験、技術をもって、治療にあたり、患者様にも、十分なご協力をお願いしています。ですから、ほとんど不具合は生じません。

もし不具合が生じたら、原因を出来る限り究明するようにします。患者様に十分な説明、患者様と十分なお話合いをさせていただきます。そして、患者様に納得していただける方法で、補償をします。治療をやり直したり、費用を返還したり、ということになりますが、いずれも患者様とのお話し合いで、納得していただけるように心がけます。

ただ、はっきりと明言しないと信用されませんので、
当院のインプラント治療は10年間保証を行っております。

インプラントメーカーについて

患者様から、「かすや歯科医院で使用しているインプラントメーカーはどこですか?」と時々質問を受けます。以前は、チタン製インプラントを世界で最初に研究・開発した、ブローネマルク教授が携わったノーベルバイオケア社を使用しておりました。このメーカーはもちろん現在でも、世界のトップレベルのメーカーと言えます。
現在は、主に国産メーカーのプラトンジャパン社を使用しております。プラトンジャパン社は、日本にけるシェアでは、海外メーカーも含めるとトップ10に入るか、入らないかというところです。国産メーカーだけに限れば、トップ5には数えられると思います。
他にも、他院からの患者様が、他のメーカーのインプラントを使用された方の治療を引き受けるために、数社他メーカーも使用しております。
この数社を、実際に患者様に使用してみて、どのメーカーでも、十分に信頼できるもので、それほど大きな差は感じません。
私だけでなく、どのインプラントメーカーでも構わない、大差ない、問題ない、と考える歯科医は多くいます。
ホームページや、他の広告媒体などで、「世界のトップメーカーだから安心」「海外トップメーカーより国産メーカーは劣る」「実績がない」「海外のトップメーカーのインプラントを使用しているので、安心を得るためにこの価格が必要」など、世界シェアで、トップグループを占める海外メーカーの製品だけが、優れていると主張するものも多く見かけます。
確かに、現在、世界シェアでトップグループに入る海外メーカーは、後発のメーカーよりも、長い実績を持っていますが、国産メーカーでも、もう20年以上の実績を積んできている会社が多くあります。20年以上続くものを、実績不足とは言えないと思いますし、ダメな製品を作っていたら、会社が潰れてしまっているでしょう。どの会社も、古くからの海外メーカーのデータを参考にしながら、より優れた製品の開発、研究を行っていますし、後発の強みで、機敏に各社のいいとこ取りをして、より良いものを生み出せることもあると思います。
現在、多くの国にインプラントメーカーが存在し、世界中で80社以上あるといわれています。各社とも、実験、研究を行い、そのデータも公表し、自社の製品が優れていることをアピールしています。この中で、優れたもの、信頼のおけるものを選ぶためには、データの比較だけではなく、すべてのインプラントメーカーの商品を、同じ条件で、実際に患者様に使用して比較しないと、本当のところは分からないと思います。
しかし、そんなことを行うのは不可能ですから、実際に使用してもいないのに、「海外のトップメーカーでないと信頼できない。」「国産メーカーは実績がない。」などと言ってしまっているのではないかと私は思います。私自身の考えでは、現在日本で販売、使用されているインプラントメーカーで、トップ20ぐらいに入るメーカーの製品であれば、どのメーカーもそれほど大差なく、十分に信頼のできるものであると思います。もちろん、各社それぞれ特徴があり、差がまったくないわけではありませんが、使用に耐え難いような製品を作るメーカーはあり得ません。
どこかの歯科医院のホームページに影響されて、このインプラントメーカーでないとダメだと書いてあったとか、インプラントメーカーについての、様々な不安や意見は、無意味であると私は考えます。

インプラント治療の流れ
初診・相談

STEP1 初診・相談

まずは患者様に来院いただき、当院でのインプラント治療についての概要につき、ご説明いたします。簡単な口腔内診査、レントゲン検査、歯型模型採取、手術についての説明、費用についての説明、手術後についての説明等、可能であれば、初診時に行います。

精密検査

STEP2 精密検査

確実な治療を行うために、口腔内の状態、顎骨の状態等につき詳しく検査します。顎骨の状態を精密に把握するために、全例にCT撮影を行います。 全身状態の把握も重要で、必要な場合は、他科の受診、主治医があれば情報提供をお願いしています。

診断・治療計画の説明

STEP3 診断・治療計画の説明

検査の結果に基づいて、最適な治療計画を立てます。どの部位に、どんな長さ、径のどんな種類のインプラント体を埋入するかなどを考えます。必要に応じて、種々の手術法を駆使して成功へとつなげます。

前処置

STEP4 前処置

手術を行う以前に、口腔内を清潔に保つための歯石除去、清掃、ブラッシング指導を行ったり、必要なら虫歯の治療も先に行います。歯が失われてっしまった口腔内は、咬み合せが不良になっていることも多く、全体の咬み合せの状態を改善しておく場合もあります。

手術

STEP5 手術

当院にて、局所麻酔(普通の歯の治療の時に行う麻酔)で行います。症例に応じて、種々の手術技法を駆使します。骨移植、あるいは顎骨の幅が不足の場合は骨を割って、骨幅を広げる方法、骨補填材を使用する方法など、必要に応じて用います。すべてを自院にて、局所麻酔下で行います。種々の手術技法について、詳しくは別記します。

治癒期間

STEP6 治癒期間

手術をしてから、インプラント体が顎骨に十分生着するまで、術前処置を継続しながら待ちます。以前は上部構造(咬む歯の部分)を作るまでに、3~6か月待ってからとされていましたが、インプラント体の改善、多くの症例の検証から、もう少し早期に、場合によっては、手術後、即時に上部構造(咬む歯の部分)作製することも可能となってきました。

上部構造

STEP7 上部構造

インプラント体が顎骨にしっかり生着したら、型取りをして、実際に咬む歯の部分を作製します。長期にわたって良好に機能させるために、精密な型取り、咬合状態の記録、精密に仕上がっているかどうかの試適などを行います。

メンテナンス

STEP8 メンテナンス

上部構造を装着したら治療は終了ではありません。実はこれからが長く、大変な道のりなのです。インプラントは永久に悪くならないものではありません。天然の歯が歯周病にかかるように、清掃状態が悪ければ、インプラントも周囲炎といって、歯周病のような状態に陥ります。これを防ぐために、常に点検、清掃を行っていかなければなりません。当院では基本的に1~3か月に1度来院していただき、状態のチェック、清掃を行っています。

アクセス

かすや歯科医院
医院名
かすや歯科医院
TEL/FAX
052-851-3788
MAIL
info@kasuyashika.com
住所
〒467-0831 名古屋市瑞穂区惣作町3-67
かすや歯科医院

アクセス方法

【名鉄】
「堀田」駅から、東へ徒歩12分
【地下鉄】
「妙音通」駅から北へ徒歩7分 /「新瑞橋」駅から北西へ徒歩12分 /「瑞穂運動場西」駅から南西へ徒歩12分
【お車の方】
新瑞橋交差点を北へ、信号2つ目交差点を左折、約500m左手
※お車でお越しの方は駐車場をご用意しております

診療時間

日・祝
09:30~12:30
14:00~19:00

□…木曜は手術日、一般診療は休診です。
△…土曜日午後は17:00まで。日曜・祝日は休診日です。